Молочница относится к заболеваниям, о которых говорить не принято, даже стыдно. Происходит это из-за распространённого мнения, что заразиться этой болезнью можно только половым путём. Это абсолютно ошибочная точка зрения. Ведь по статистике 70% девушек и женщин хоть раз в жизни страдали от неприятных проявлений этого недуга. Неужели все они так неразборчивы в своих сексуальных партнёрах? Есть несколько видов этого недуга. Эта статья поможет разобраться в том, что такое молочница, какие симптомы сопровождают заболевание и чем лечить его.
Кандидоз: причины заболевания
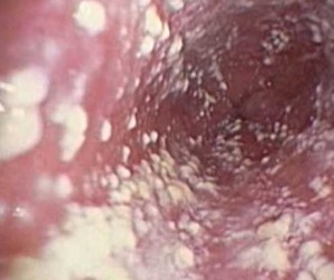
Медицинское название молочницы – кандидоз. Это воспаление слизистой из-за поражения грибками вида Candida (см. фото выше). Эти грибки сами по себе совершенно неопасны и в совокупности с другими микроорганизмами, принимают участие в метаболизме человека. Обнаружить их можно в ротовой полости, половых органах (конкретнее во влагалище), а также в кишечнике.
Научного объяснения, почему у одних людей этот грибок становится враждебным, а другим ничем не угрожает, нет. Есть только лабораторно подтверждённые причины, превращения безобидного микроэлемента в недуг.
К ним относятся:
- ослабленная иммунная система,
- хронические инфекционные заболевания,
- хворобы, которые передаются через половые органы,
- противозачаточные препараты,
- повышенный уровень сахара в крови,
- беременность,
- аллергические реакции на растения,
- лечение антибиотиками.
Далее, следует более подробное описание симптомов некоторых видов этого недомогания, а также методы диагностирования и способы лечения. Фото.
Вернуться к оглавлению
Симптомы и методы лечения молочницы у женщины
Поражение грибковым недугом у женщины проявляется сильным зудом в области половых органов. Без лечения с каждым днём жжение становится более сильным. Беспокойство вызывает занятие сексом, принятие ванны с горячей водой. Следующим проявлением является возникновение покраснений на половых органах, их опухание. Дальше появляются белые творожистые выделения. Они могут быть как сильными, так и не очень. Все эти признаки сопровождаются кислым запахом.
Точный диагноз сможет поставить только врач. Но совсем простой способ диагностирования можно провести предварительно дома.
При первых признаках инфекции надо утром натощак выплюнуть слюну в чистый стакан и потом добавить туда воду. Дальше ведут наблюдение за изменениями, происходящими в стакане на протяжении часа.
Девушка заболела, если:
- с поверхности воды вниз опускаются нитеподобные образования,
- комочек слюны опустился на дно и не растворился,
- в стакане плавают небольших размеров хлопья.
Другой способ выявления молочницы это использование полоски для измерения уровня pH. У здоровой женщины его уровень в вагине от 4,0 до 4,4.
Лучше реакцией на хворь будет поход к врачу-гинекологу. Выделения могут также быть проявлением другой гинекологической болезни. Только врач сможет это определить. Но если нет в ближайшее время возможности обследоваться, то есть несколько способов помочь себе самостоятельно:
- Аптеки предоставляют к продаже большое разнообразие лекарств от инфекции. Это могут быть таблетки или свечи. Не стоит забывать, что приём лекарства сопровождается побочными эффектами, поэтому внимательно надо изучить прикреплённую к нему инструкцию по применению.
- Ещё можно принимать ванночки с раствором пищевой соды – в одном литре тёплой, кипячёной воды разводят чайную ложку соды. На второй день надо сделать такой же раствор, но ещё добавить туда несколько капель йода. Этот способ нельзя применять при эрозии – можно спровоцировать кровотечение.
Следующим народным средством есть обычный морковный сок. Его пьют за 20 , 30 минут до еды, два раза на день. Курс составляет несколько недель.
- Уменьшить на время зуд можно с помощью яблочного уксуса. Очень важно взять натуральный яблочный уксус и развести одну чайную ложку с 0,5 литром кипячёной воды. Получиться раствор для спринцеваний. Проводить процедуру разрешается не более двух раз в день.
- Хорошим средством является кокосовое масло. Им нужно мазать место вокруг влагалища два раза на день. Если делать это регулярно, риск заболеть сводится к минимуму.
Перечисленные средства ни в коем случаи не являются методами лечения. Это только способ продержатся до похода в больницу.
Через два — три дня признаки кандидоза могут проявиться у полового партнёра. Ни в коем случаи нельзя скрывать хворь друг от друга, необходимо вместе пройти лечение у специалиста.
При беременности все свои силы организм будущей мамы отдаёт плоду, иммунитет у неё сильно ослаблен. От заражения инфекцией страдает не только мама, но и её ещё не рождённый малыш. В таких случаях, ни о каком самолечении, не может быть и речи.
На протяжении всего курса желательно придерживаться диеты. Нельзя употреблять еду, в состав которой входят сахароза и лактоза. К ним относятся сахар, и все что его содержит. А также следует исключить молочные продукты. Можно пить кислое молоко, натуральные йогурты. Очень сильно с инфекциями расправляется натуральный клюквенный сок.
Вернуться к оглавлению
Профилактические мероприятия
- Необходимо мыться два раза в день – до и после ночного сна.
- При молочнице следует отказаться от кружевного синтетического белья. Его рекомендуется заменить на хлопковое.
- Ежедневные прокладки менять надо каждых три часа. Это правило должно присутствовать, и когда девушка абсолютно здорова.
- Прокладки для критических дней должны быть максимально натуральными, хорошо пропускать воздух.
- Антибиотики принимать только по назначению врача.
- Уменьшить количество рафинированных продуктов в рационе.
- Принимать витамин С, он увеличивает сопротивляемость к инфекциям.
- Ввести до рациона Омега-3 жирные кислоты, благодаря которым уменьшается воспаления.
- Без сильной надобности не спринцеваться, так как этот процесс нарушает микрофлору влагалища.
- Снимать купальник сразу же после купания.
Вернуться к оглавлению
Заболевание ротовой полости
Очень часто молодые мамочки замечают, что у их грудничков на языке, небе, а также на горле возник белый налёт. Малыш стал очень беспокойным, плохо кушает. При попытке накормить его сильно плачет. Это первое проявление кандидоза у грудничков. В таких случаях надо сразу же обратиться к педиатру для установления причины.
Появление белого налёта может быть причиной других заболеваний и диагностирование очень важно в первые часы недуга. Грибками могут быть заражены другие органы малыша. Просто снять налёт недостаточно.
Вернуться к оглавлению
Кандидоз кишечно-желудочного тракта
Что такое молочница кишечника и симптомы заболевания? Проявления кандидоза всегда предельно выражены и, обнаружить их достаточно просто. Когда инфекционное заболевание поразило тонкую кишку (см. фото) разглядеть его можно по фактуре испражнений, а по внешнему и внутреннему состоянию человека:
- кал становится жидким,
- приобретает розовый оттенок,
- появляются творожистые выделения белого цвета,
- кожа делается бледной, на ней появляются прыщи, угри и другие дерматологические болезни,
- резкое или частое повышение температуры тела,
- боли в области сердца, раздражительность,
- мышцы становятся слабыми, больной быстро устаёт от физических нагрузок,
- общее состояние организма ослаблено, постоянно клонит в сон.
Вернуться к оглавлению
Диагностирование
В домашних условиях ставить самому себе диагноз опасно для здоровья. Для этого необходимо обратиться к врачу гастроэнтерологу или терапевту. Ещё рекомендуется посетить специалиста в области проктологии.
Для диагностирования, врач назначает следующие анализы:
- Анализ кала – при молочнице резко падает количество лактобактерий, бифидобактерий, а уровень грибковых выше 1тыс. КОЕ/г. Ещё в фекалиях обнаруживается много эритроцитов и слизистых субстанций.
- Анализ крови – падает уровень гемоглобина в крови. Он становится ниже 100г/л. Количество лейкоцитов же, наоборот, возрастает. Повышенное количество иммуноглобулинов показывает, что человек заражён молочницей.
- Анализ мочи – помогает выяснить, чем питается грибок.
- Эндоскопическое обследование желудка, кишечника и двенадцатипёрстной кишки. При таком диагностировании врач быстро диагностирует кандидоз.
Вернуться к оглавлению
Виды молочницы кишечника
Недомогание проходит в разных формах. Это зависит от того, что послужило причиной заражения. Первый вид –это инвазивная форма заболевания. Для него характерно поражение инфекцией слизистой оболочки органа. Второй вид, соответственно не инвазивный. При такой форме болезни, грибок поражает просвет кишечника. Инвазивная форма более редкая, поэтому лечение проходит сложнее.
Вернуться к оглавлению
Как проводится лечение?
Когда доктор поставил диагноз кандидоз кишечника, он расписывает трехэтапный план по его устранению. Именно поэтапное лечение позволяет уничтожить симптомы, и даёт возможность восстановить микрофлору человека.
Первоначально стадией есть необходимость уничтожения грибка Candida. Второй этап – это комплексная терапия. Благодаря ей, происходят изменения работы кишечно-желудочного тракта к лучшему, укрепляется иммунитет и восстанавливается микрофлора.
Если диагнозом была установлена инвазивная форма заболевания, назначаются антибиотики. Необходимо не забывать, что с приёмом антибактериальных препаратов обязательно нужно принимать бактерии, которые полезны для работы пищеварительной системы. Благодаря им, восстанавливается микрофлора, налаживается работа кишечника, происходит улучшение пищеварительного процесса. К пробиотикам относятся препараты содержащие ферменты, а также лекарства, которые возобновляют моторику внутренних органов.
Не инвазивную форму болезни лечат с помощью препаратов, которые убивают инфекцию в просвете кишечника, но не всасываются кровью.
Последний этап – назначение соответственной диеты. На этом этапе ответственность больше всего лежит на больном человеке. Необходимо строго соблюдать все правила питания, ведь от этого зависит качество, а также скорость полного выздоровления.
Вернуться к оглавлению
Диета
Еда, которую можно есть, не должна быть провокатором для размножения грибковой инфекции. Для борьбы организму с паразитами, необходимы витамины, белки, микроэлементы. А также следует увеличить приём пищи с повышенным содержанием клетчатки. Пополнить запасы этих веществ можно с помощью овощей и не сладких фруктов. А вот еду, содержащую в своём составе простые углеводы желательно ограничить до минимума.
К категорически запрещённым продуктам входят:
- алкоголь,
- сладкие и газированные напитки,
- мучные изделия и пища, в составе которой есть дрожжи,
- любая кондитерская продукция,
- фрукты с большим содержанием сахарозы,
- крахмалистые овощи – картошка, кукуруза, свёкла,
- любые соусы, кетчупы и уксус,
- сыры с плесенью, сухофрукты.
Вернуться к оглавлению
Чем же питаться во время диеты?
Кладезем белков является мясо. Кушать можно нежирную курицу, индюшачье мясо и говядину. Приготовить их рекомендуется на пару, можно отваривать или запекать. Те же способы подходят для приготовления рыбы, которая богата белками и жирами, необходимыми для быстрейшего выздоровления. Фото.
Из овощей лучше остановиться на луке, помидорах, капусте и сельдерее. Заправить их можно льняным или оливковым маслом. Для сбалансированного питания во время диеты, нужно употреблять грецкие орехи, подсолнечные семечки, куриные и перепелиные яйца. Из круп лучше отдать предпочтение рису и гречке, потому что они без глютена. Для того чтобы быстрее восстанавливалась микрофлора надо добавить до рациона кефир и йогурты на натуральной основе без сахара.
Вернуться к оглавлению
Народная медицина
Есть несколько народных средств избавления от инфекции. Применяя их, следует помнить, что самолечение опасно для здоровья. Только консультация у врача может дать ответ можно ли лечиться с помощью нетрадиционной медицины. К таким методам относится врачевание с помощью чеснока, хрена и травяных отваров.
Когда врач разрешает употреблять чеснок, его надо съедать по 3 зубчика на сутки. Дальше необходимо добавлять каждый день по одному, но не больше восьми зубчиков. Лучшим вариантом поедания чеснока будет его добавление в салат из моркови. Не стоит пить воду за час до и после того, как в пищу добавили чеснок.
Травяные отвары из ромашки и зверобоя готовят следующим образом. В 200 мл кипящей воды надо добавить ложку травяного сбора и настаивать 30 минут. Разделяют отвара на три приёма.
Натёртый корень хрена, можно добавлять к мясу, рыбе или овощам.
В заключение хочется отметить, что заболеть кандидозом можно в любом возрасте. Он поражает и грудничков, и взрослых, и стариков. Больше всего он распространён в странах, где жаркий и влажный климат. Часто причиной заболевания служит сам больной из-за приёма лекарств без назначения врача, занимаясь самолечением другой инфекционной хвори. Симптомы уходят, а вот грибок Candida становится агрессивным.
Не следует забывать о постоянном укреплении своего иммунитета. Профилактические методы не являются панацеей, но следуя этим простым правилам можно обезопасить себя и своих близких.

Следующим народным средством есть обычный морковный сок. Его пьют за 20 , 30 минут до еды, два раза на день. Курс составляет несколько недель.

